血管集束征(体检查出的“肺小结节”真的能演变成肺癌吗)
			
			
				发布时间:2022-09-30 16:58   浏览:
				次
			
			我是杨大夫,肺小结节和肺癌,什么关系?
所谓肺小结节,是指直径小于1cm的肺结节,肺结节的大小和肺癌的可能性是正相关的。此回答,我们讨论小结节。
肺小结节和肺癌的纠缠不清的关系,我们来捋一捋。
1、有的肺小结节,一开始就是肺癌。
肺癌分腺癌,鳞癌,大细胞癌,小细胞癌,类癌等等。这些癌在较小的时候,表现的不如大的时候那么典型。
对于这部分肺小结节,需要阅片者的经验,以及采取多种措施来诊断。
2、有的肺小结节,一开始不是癌,而是不典型腺瘤样增生等,慢慢演变成浸润腺癌,这种多见于磨玻璃结节。
3、有的肺小结节,是良性的,不会演变成肺癌。
比如,肺内淋巴结,可表现为肺内小结节,甚至可以慢慢长大,但这个是良性的,不会恶变。有的磨玻璃结节,随访复查后消失,说明是炎症。还有的结节是结核,其他炎症,或者良性的肿瘤。
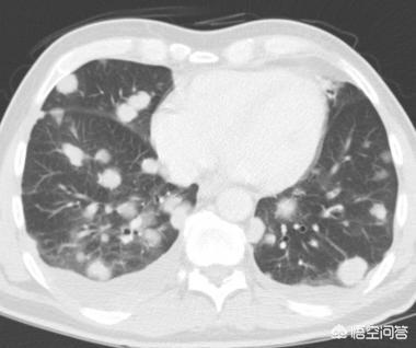
4、有的肺小结节,虽然不是癌,但也得手术。
比如硬化性肺细胞瘤,部分错构瘤等等。
5、有的肺小结节,不是癌,但是其他类型的恶性肿瘤。
比如淋巴瘤,转移瘤,肉瘤等。
当发现了肺结节,要根据临床情况,CT表现等等综合分析,越小的结节,越难以定性,因此有时候才需要随访观察。
既不能盲目激进,发现了结节就手术,也不能盲目乐观,发现了结节也不理不睬。
| 丰田皮卡多少钱(丰田塔科马价 | 发布时间: | 2022-09-30 | 
| 特里斯坦 汤普森(为什么大家都说汤普森防守好) | 发布时间: | 2022-09-30 | 
| 穿越火线an94(穿越火线四个枪口) | 发布时间: | 2022-09-30 | 
| 六年级上册英语翻译(人教版六年级英语上册第6单元翻译) | 发布时间: | 2022-09-30 | 
| 湖人队赛程(湖人迎噩梦赛程!五天战雄鹿76人快船,詹姆斯能否稳住西部第一的席位?你怎么了) | 发布时间: | 2022-09-30 | 
| 官场风月录(《梦华录》顾千帆他爹,当年为什么抛弃他和他娘) | 发布时间: | 2022-09-30 | 
